Nhập viện vì uống thuốc mà quên bóc vỉ
Ngày đăng: 11/02/2019 - Lượt xem: 3234
Sáng ngày 11/2, Bệnh viện Đa khoa tỉnh Hà Tĩnh cho biết các bác sỹ Khoa Chẩn đoán hình ảnh vừa nội soi gắp viên thuốc còn nguyên vỉ sắc nhọn trong thực quản cho bệnh nhân Nguyễn Chí L (65 tuổi), trú tại Phường Trấn Phú, TP Hà Tĩnh.
Sáng cùng ngày, sau khi ăn sáng xong bệnh nhân uống thuốc tiểu đường và cùng nhiều loại thuốc khác và đã không chú ý trong các loại thuốc vẫn xen lẫn hai viên thuốc còn nguyên vỉ. Sau khi uống thuốc xong cảm thấy khó chịu ở cổ, bệnh nhân đã tiến hành khạc, móc họng để cho nôn ra... thế nhưng tình trạng càng lúc càng nặng, bệnh nhân khó nuốt hơn và gây ra chảy máu ở họng sau khi cố móc nôn... và được người nhà đưa vào Bệnh viện Đa khoa tỉnh Hà Tĩnh để kiểm tra.

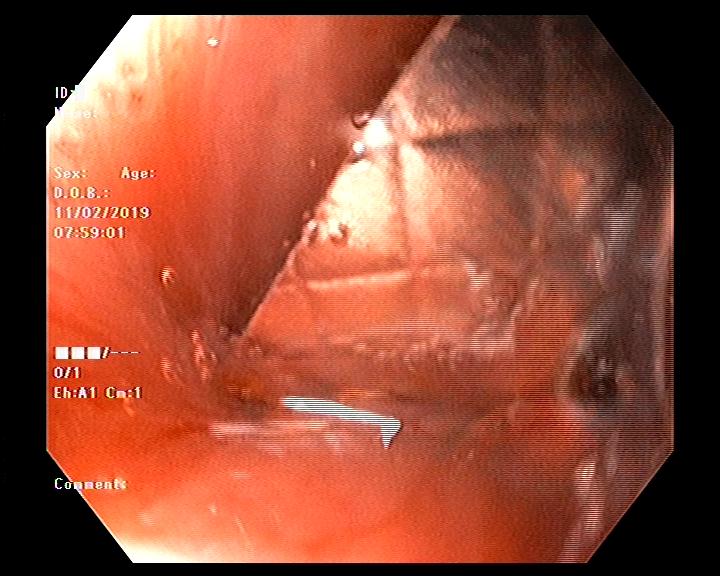
Nội soi phát hiện vỉ thuốc cắm vào thành thực quản
Bác sỹ Nguyễn Thị Cúc - Phó Khoa Chẩn đoán hình ảnh, phụ trách bộ phận nội soi cho biết: Sau khi hội chẩn, Ê kíp đã tiến hành nội soi gây mê thực quản bằng ống mềm để gắp dị vật. Chỉ sau 20 phút, dị vật là một vỉ thuốc còn nguyên vỏ với các cạnh sắc nhọn, cắm vào thành thực quản, đường kính khoảng 2 x 2,5cm đã được gắp ra. Sau thủ thuật, bệnh nhân hết nuốt vướng, không ho khạc ra máu và được xuất viện cùng ngày.
Theo bác sĩ Cúc, tai nạn do uống thuốc chưa bóc vỉ nhìn có vẻ đơn giản nhưng rất nguy hiểm vì các cạnh của viên thuốc rất nhọn sẽ cứa vào thực quản gây chảy máu, rất khó cầm. Vì vậy, người uống thuốc cũng phải cẩn thận hơn khi uống.
.jpg)
Vỉ thuốc được gắp ra có kích thước khoảng 2 x 2,5cm
“Cũng rất mong các quầy thuốc khi bán thuốc cần bán nguyên vỉ, không “xắt nhỏ” viên thuốc còn vỉ như trường hợp nêu trên”. Bên cạnh đó, để tránh nuốt phải dị vật, chúng ta nên ăn chậm nhai kỹ, khi uống thuốc nên nuốt từng viên và nếu chẳng may bị dị vật chui vào đường uống thì không cố gắng dùng mẹo dân gian hay dùng tay để móc ra, mà đến ngay cơ sở y tế gần nhất để có cách xử lý kịp thời, bác sỹ Cúc khuyến cáo thêm.
Tuấn Dũng - Trương Huyền