Thay khớp gối toàn phần thường qui tại Bệnh viện Đa khoa tỉnh Hà Tĩnh.
Ngày đăng: 30/08/2019 - Lượt xem: 8231
Phẫu thuật thay khớp gối bằng khớp nhân tạo là 1 kỹ thuật tiên tiến giúp bệnh nhân phục hồi gần như hoàn toàn chức năng vận động. Mục đích của thay khớp gối nhân tạo là lấy đi những mặt sụn bị hư và thay thế vào 1 khớp gối nhân tạo.
Được biết, bệnh nhân Trương Thị L. (72 tuổi, địa chỉ xã Thạch Bàn, huyện Thạch Hà) nhập viện và điều trị tại khoa Chấn thương chỉnh hình - Bỏng. Trước đây, bệnh nhân bị đau khớp gối trái và điều trị tại nội khoa đã lâu, tuy nhiên thời gian gần đây khớp gối trái bị đau nhiều hơn, cứng khớp, không thể đi lại được.

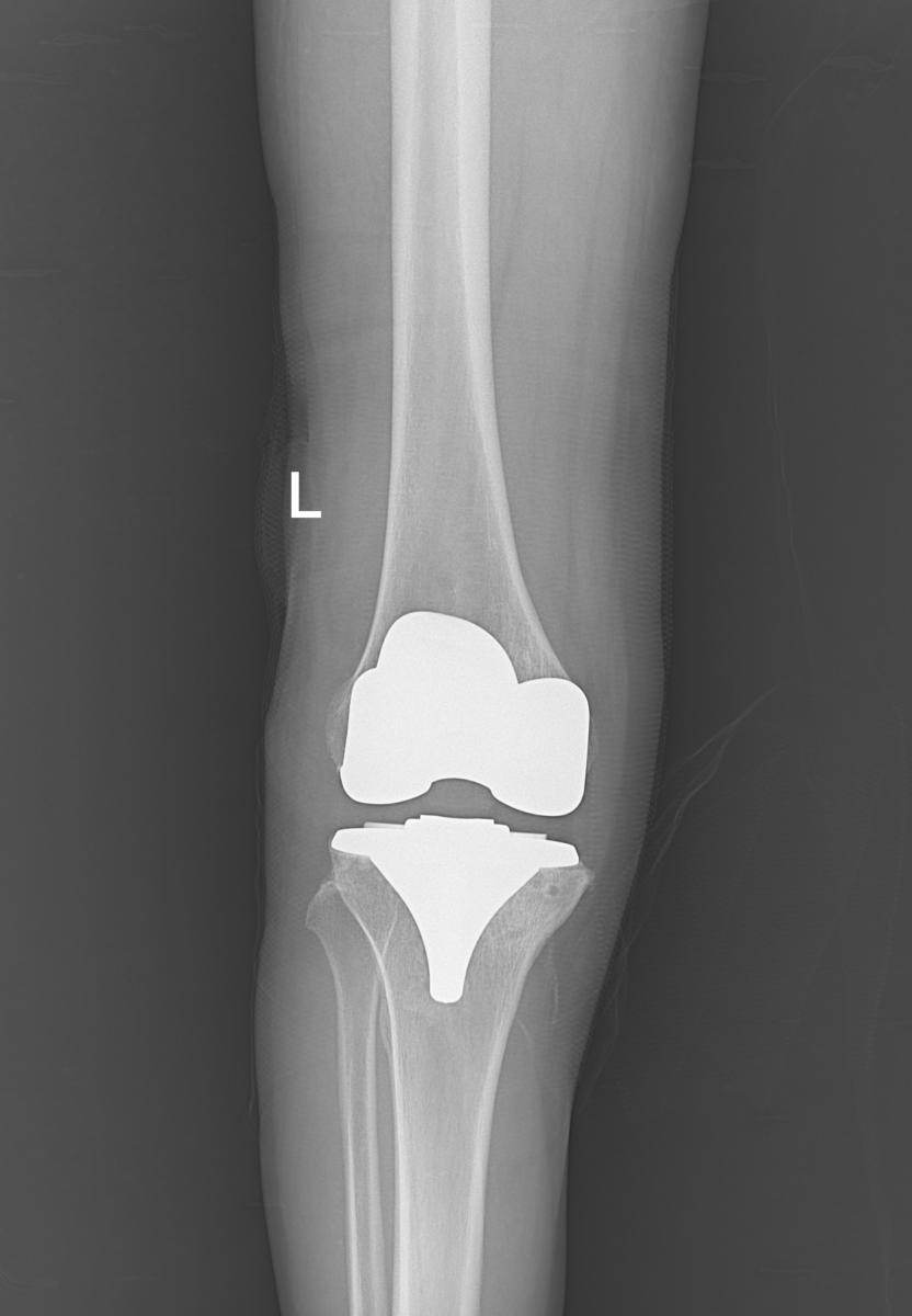
Hình ảnh khớp gối (T) sau khi phẫu thuật của bệnh nhân Trương Thị L.
Sau khi nhập viện và được các bác sỹ thăm khám, hội chẩn, bệnh nhân được chẩn đoán thoái hóa khớp gối (T) độ IV, có chỉ định phẫu thuật thay khớp gối (T) toàn phần.
(3).jpg)
Sau phẫu thuật, sức khỏe của bệnh nhân Trương Thị L. đã ổn định.
Tiếp đó, bệnh nhân Hoàng Thị B. (57 tuổi, địa chỉ xã Thạch Văn, huyện Thạch Hà) nhập viện và điều trị tại khoa Điều trị theo Yêu cầu. Cách đây 3 năm bệnh nhân đã phẫu thuật nội soi thoái hóa khớp gối trái, tuy nhiên, thời gian gần đây khớp gối trái sưng đau, tràn dịch, tái đi tái lại, hạn chế vận động.

Hình ảnh khớp gối (T) sau khi phẫu thuật của bệnh nhân Hoàng Thị B.
Sau khi nhập viện và được các bác sỹ thăm khám, hội chẩn, bệnh nhân được chẩn đoán thoái hóa khớp gối (T) độ III, có chỉ định phẫu thuật thay khớp gối (T) toàn phần.

Sau phẫu thuật, bệnh nhân B. thực hiện các bài tập phục hồi chức năng.
Hai bệnh nhân sau khi thực hiện phẫu thuật đều ổn định, có thể thực hiện các bài tập phục hồi chức năng theo hướng dẫn của bác sĩ, dự kiến sau khoảng 1 tuần sẽ có thể ra viện.
Phẫu thuật thay khớp gối toàn phần là phương pháp phẫu thuật hiện đại đã được triển khai thường qui tại Bệnh viện Đa khoa tỉnh Hà Tĩnh. Việc làm chủ kỹ thuật này đã giúp cho các bệnh nhân thoái hóa khớp gối cấp độ III, IV được phẫu thuật, điều trị ngay tại tỉnh nhà, tạo thuận lợi và giảm chi phí cho bệnh nhân trong quá trình điều trị.
Hạnh Loan
|
Thông tin liên hệ:
- BS Nguyễn Quang, khoa Điều trị theo Yêu cầu, SĐT: 0943.935.354.
- BS Đinh Văn Bình, khoa Chấn thương Chỉnh hình - Bỏng, SĐT: 0906.687.739
Bệnh viện Đa khoa Tỉnh Hà Tĩnh
Số 75, Hải Thượng Lãn Ông, Thành phố Hà Tĩnh, Tỉnh Hà Tĩnh.
|